侵襲性歯頚部吸収・歯根吸収

Before

After
| 主訴 | 見た目を治したい |
|---|---|
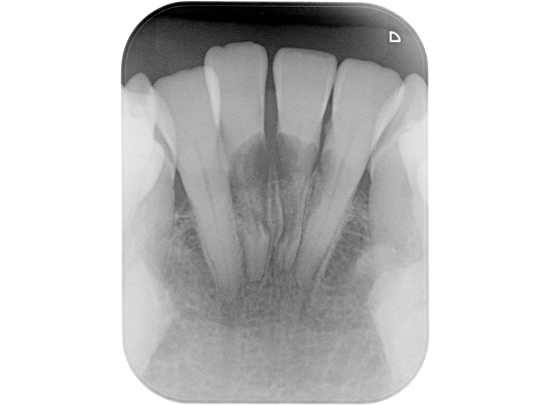
| 治療内容 | 6年前にサバイバルゲームでBB弾が歯に当たり、歯が欠けた。 歯髄診査では、11,21ともにEPT+、Cold+。11は侵襲性歯頚部吸収、21は内部の炎症性吸収と診断。また、11にはパーフォレーションも認めた。 21は根管治療、ダイレクトボンディングにて対応。 11は、歯冠部の審美に対してはダイレクトボンディングにて対応。 まず侵襲性歯頚部吸収による吸収部を粘膜剥離しバイオデンティンにて外部より封鎖。後日、パーフォレーション部をバイオデンティンにて根管内部よりリペア。歯髄は正常と診断したが、予防的に根管治療を行うこととした。歯冠部からのアクセスが困難だったため、逆根管治療(歯根端切除術)にて対応。 |
| 治療期間・治療回数 | 5回 / 4ヶ月 |
| 治療費用 | 根管治療 110,000円 支台築造 11,000円 外部修復 55,000円 穿孔修復 33,000円 歯根端切除術 143,000円 |
| リスク・副作用 | ・治癒不全の際は、外科的歯内療法が必要となります。 ・歯を削る必要があるため破折などが起きる可能性があります。 ・再発する可能性があります。 ・保険診療範囲外の自費診療になるため費用が高くなる場合があります。 |





