自家歯牙移植
自家歯牙移植

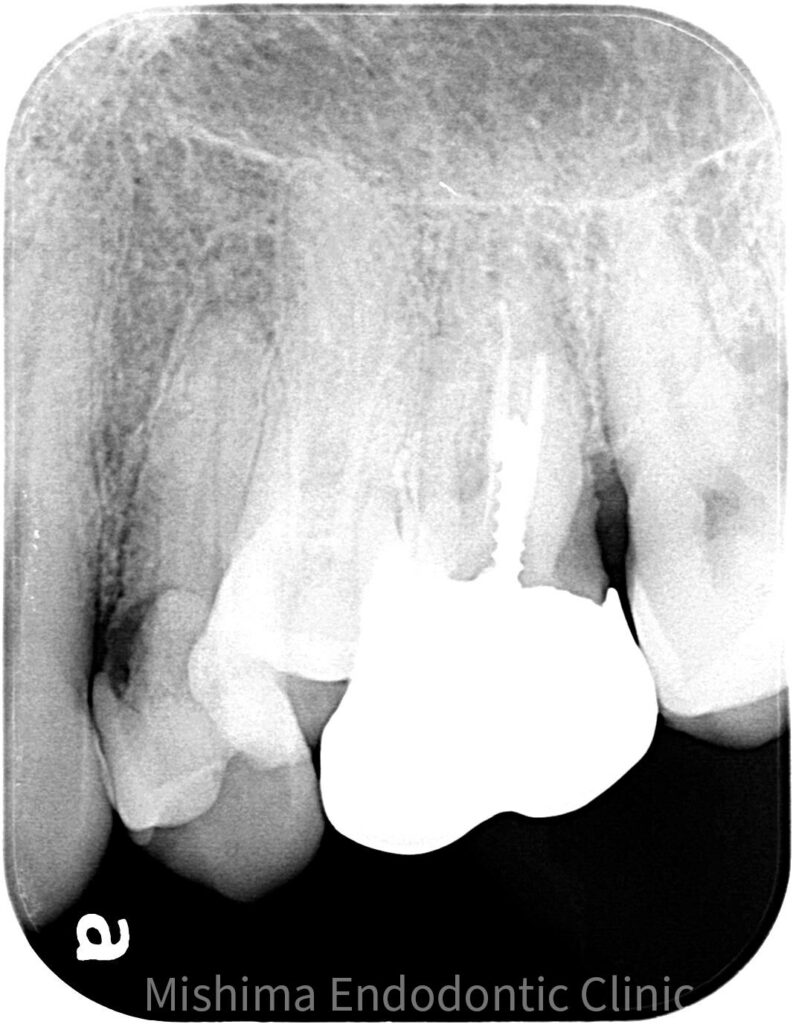
Before

After
| 主訴 | 虫歯を治したい |
|---|---|
| 治療内容 | 左上4が歯頚部よりカリエスを認めた。歯肉縁下カリエス、かつ、左上5の口蓋側への捻転により衛生管理が困難なため、左上4を抜歯し、左上5を保存することとした。 矯正は希望されなかったため、5→4に自家歯牙移植を行なった。 |
| 治療期間・治療回数 | 4回 / 3ヶ月 |
| 治療費用 | 自家歯牙移植 176000円 レプリカ 22000円 根管治療 132000円 支台築造 11000円 (全て税込) |
| リスク・副作用 | ・移植歯が定着しないことがあります。 ・術後に移植歯が歯根吸収を起こすことがあります。 ・保険診療範囲外の自費診療になるため費用が高くなる場合があります |
治療詳細
術前


移植後1年

